Relacja między substancjami psychodelicznymi a sferą duchową człowieka jest fascynująca i niezwykle złożona. Od wieków ludzie poszukują głębszego sensu, transcendentnych doświadczeń i osobistej transformacji, a psychodeliki, w odpowiednich warunkach, mogą być narzędziem otwierającym drzwi do tych przestrzeni. Ten artykuł ma na celu przybliżenie tej relacji, opierając się na rzetelnej wiedzy naukowej, historycznym kontekście oraz kulturowych uwarunkowaniach, aby pomóc zrozumieć, jak te potężne substancje mogą wpływać na naszą duchowość.
Psychodeliki mogą otwierać drzwi do głębokich doświadczeń duchowych od starożytnych rytuałów po współczesną terapię.
- Psychodeliki takie jak psylocybina czy DMT mogą indukować stany mistyczne, wpływając na sieć trybu domyślnego (DMN) w mózgu.
- Ich zastosowanie w kontekście duchowym ma długą historię, od rdzennych rytuałów po renesans współczesnych badań terapeutycznych.
- Doświadczenia takie jak "śmierć ego" czy poczucie jedności są kluczowe dla duchowej transformacji i korelują z sukcesem terapii.
- Bezpieczeństwo i skuteczność zależą od odpowiedniego przygotowania (set) i otoczenia (setting) oraz integracji wglądów.
- W Polsce substancje te są nielegalne, ale rośnie świadomość ich potencjału i zainteresowanie naukowe.

Duchowe przebudzenie jak psychodeliki mogą na nie wpływać?
Od starożytnych rytuałów po współczesną naukę: historyczny związek
Historia ludzkości jest nierozerwalnie związana z poszukiwaniem transcendencji i kontaktu z tym, co wykracza poza codzienną rzeczywistość. Od tysięcy lat psychodeliki odgrywały kluczową rolę w rytuałach wielu rdzennych kultur, służąc jako narzędzia szamanistyczne do komunikacji ze światem duchów, uzdrawiania i inicjacji. W Amazonii ayahuasca była i jest używana w ceremoniach mających na celu głębokie duchowe doświadczenia. Podobnie, grzyby psylocybinowe były wykorzystywane przez starożytne cywilizacje Mezoameryki w celach religijnych i wróżebnych. Współcześnie obserwujemy fascynujący renesans badań naukowych nad potencjałem psychodelików, takich jak psylocybina czy MDMA, w kontekście terapeutycznym. Te badania coraz częściej podkreślają, że kluczowym elementem procesu leczenia depresji, lęku czy PTSD są właśnie doświadczenia duchowe i mistyczne, które te substancje mogą wywoływać.
Definicja duchowości w kontekście doświadczeń psychodelicznych
Duchowość w kontekście psychodelicznym to niekoniecznie tożsame z tradycyjną religijnością czy przynależnością do konkretnego wyznania. Jest to raczej szeroko pojęte poczucie połączenia, transcendencji, poszukiwania głębszego sensu życia i doświadczania rzeczywistości w sposób wykraczający poza codzienne, ego-centryczne postrzeganie. Obejmuje ono poczucie jedności ze wszechświatem, głęboką introspekcję, zrozumienie własnego miejsca w kosmosie, a także doświadczanie chwil, w których granice indywidualnego "ja" zdają się rozpływać. To stan otwarcia na to, co niewidzialne i niepoznawalne za pomocą zwykłych zmysłów.
Dlaczego współczesny świat ponownie zwraca się ku psychodelikom w poszukiwaniu sensu?
W dzisiejszym, często zmaterializowanym i zagonionym świecie, wiele osób doświadcza poczucia pustki, zagubienia i braku głębszego sensu. Konwencjonalne metody radzenia sobie z tymi problemami, takie jak terapia czy praktyki religijne, nie zawsze przynoszą oczekiwane rezultaty. W tej sytuacji psychodeliki jawią się jako potencjalna ścieżka do odnalezienia zagubionej duchowości. Rosnąca otwartość na alternatywne metody leczenia i rozwoju osobistego, a także zjawiska takie jak mikrodawkowanie, które subtelnie wpływa na percepcję i samopoczucie, przyciągają uwagę osób poszukujących głębszych doświadczeń. Społeczności psychonautów, aktywnie wymieniające się wiedzą i doświadczeniami online, również przyczyniają się do popularyzacji tego tematu.

Wpływ psychodelików na mózg brama do doświadczeń mistycznych
Neuronauka duchowości: Co dzieje się w Twoim mózgu podczas podróży?
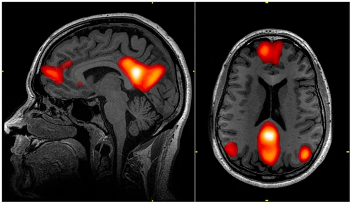
Współczesna neuronauka dostarcza fascynujących wyjaśnień, jak psychodeliki wpływają na nasz mózg, otwierając drogę do niezwykłych doświadczeń. Choć mechanizmy te są wciąż badane, wiemy, że substancje te wpływają na działanie neuroprzekaźników, zwłaszcza serotoniny, wiążąc się z receptorami serotoninowymi 5-HT2A. Prowadzi to do kaskady zmian w aktywności mózgu, modyfikując percepcję, myślenie, emocje, a nawet poczucie czasu i przestrzeni. To właśnie te neurologiczne perturbacje są podstawą do pojawienia się stanów zmienionej świadomości, które mogą być interpretowane jako duchowe lub mistyczne.
Rola "sieci trybu domyślnego" (DMN) i jej wyciszenie
Jednym z kluczowych odkryć w neuronauce psychodelików jest ich wpływ na tzw. sieć trybu domyślnego (ang. Default Mode Network, DMN). DMN to zespół obszarów mózgu aktywnych, gdy nie jesteśmy skupieni na zewnętrznym zadaniu odpowiada za myślenie o sobie, przeszłości, przyszłości, marzenia na jawie. Jest to obszar silnie związany z naszym poczuciem "ja", ego. Badania pokazują, że psychodeliki, takie jak psylocybina, znacząco obniżają aktywność DMN. To wyciszenie pozwala na tymczasowe rozpuszczenie granic ego, co może prowadzić do doświadczeń poczucia jedności ze wszechświatem, głębokiej introspekcji i poczucia transcendencji. Zmniejszona aktywność DMN wydaje się być neuronalnym podłożem dla wielu mistycznych i duchowych przeżyć.
Psylocybina, DMT, LSD: Czy każda substancja działa tak samo na duchowość?
Chociaż psylocybina, DMT i LSD działają na podobne systemy neurochemiczne w mózgu i mogą wywoływać głębokie doświadczenia duchowe, istnieją między nimi zauważalne różnice. Każda z tych substancji oferuje unikalną "podróż" ze swoimi specyficznymi cechami.
| Substancja | Charakterystyka wpływu na duchowość | Kluczowe różnice |
|---|---|---|
| Psylocybina (z grzybów psylocybinowych) | Często opisywana jako bardziej "ziemska" i "organiczna". Może prowadzić do głębokich wglądów egzystencjalnych, poczucia połączenia z naturą i ludzkością. Doświadczenia bywają łagodne lub intensywne, w zależności od dawki. | Czas działania: 4-6 godzin. Dostępność: naturalna. Wizje mogą być mniej intensywne niż przy DMT czy LSD. |
| DMT (N,N-dimetylotryptamina) | Znana z niezwykle intensywnych, krótkotrwałych i często obcych wizji. Wielu użytkowników opisuje spotkania z "istotami" lub podróże do innych wymiarów. Jest to substancja o bardzo silnym potencjale mistycznym. | Czas działania: 5-20 minut (palona/waporyzowana). Jest to najkrótsza, ale potencjalnie najintensywniejsza podróż. Występuje naturalnie, np. w ayahuasce. |
| LSD (dietyloamid kwasu lizergowego) | Może wywoływać bardzo długie i złożone doświadczenia, często charakteryzujące się intensywnymi wizjami, zmianami w percepcji sensorycznej i głęboką introspekcją. Może prowadzić do poczucia jedności i transcendencji. | Czas działania: 8-12 godzin. Jest to substancja syntetyczna. Doświadczenia mogą być bardziej "intelektualne" lub "chaotyczne" niż przy psylocybinie. |
Cechy duchowego doświadczenia pod wpływem psychodelików
Fenomen "śmierci ego": Czym jest i dlaczego jest tak transformujący?
Jednym z najbardziej znaczących i potencjalnie transformujących doświadczeń wywoływanych przez psychodeliki jest zjawisko znane jako "śmierć ego" (ego death). Nie chodzi tu o dosłowne unicestwienie, lecz o tymczasowe rozpuszczenie poczucia indywidualnego "ja" tej stałej narracji o sobie, która kształtuje naszą tożsamość. W tym stanie osoba przestaje identyfikować się ze swoimi myślami, wspomnieniami czy rolami społecznymi. Jest to doświadczenie głębokiego uwolnienia od lęków, przywiązań i ograniczeń, które zwykle definiują nasze życie. Powrót do "normalnego" stanu świadomości po śmierci ego często wiąże się z nowym spojrzeniem na siebie, świat i swoje miejsce w nim, co stanowi fundament duchowej transformacji.
Poczucie jedności ze wszechświatem: Rozpuszczenie granic "ja"
Doświadczenie jedności jest kolejnym centralnym elementem duchowych podróży psychodelicznych. W tym stanie granice między "ja" a resztą rzeczywistości zdają się znikać. Człowiek może odczuwać głębokie połączenie z naturą, innymi ludźmi, a nawet całym wszechświatem. To poczucie przynależności i bycia częścią czegoś znacznie większego niż własne, ograniczone ego, jest niezwykle uzdrawiające i może prowadzić do głębokiego poczucia sensu i celu. Rozpuszczenie barier między podmiotem a przedmiotem pozwala na doświadczenie wszechogarniającej miłości i akceptacji.
Konfrontacja z archetypami i symbolami: Język podświadomości
Psychodeliki mogą otwierać drzwi do głębokich warstw naszej psychiki, gdzie przechowywane są uniwersalne wzorce, archetypy i symbole, które opisał m.in. Carl Jung. Podczas podróży psychodelicznej możemy napotkać na obrazy i doświadczenia, które wydają się mieć ponadczasowe znaczenie mogą to być spotkania z symbolicznymi postaciami, podróże przez mityczne krajobrazy czy konfrontacje z pierwotnymi siłami. Zrozumienie i integracja tych archetypowych treści może prowadzić do głębokiego wglądu w ludzką kondycję, własne motywacje i nieświadome wzorce zachowań.
Doświadczenia bliskie śmierci (NDE) a przeżycia psychodeliczne
Istnieje uderzające podobieństwo między doświadczeniami bliskimi śmierci (NDE) a przeżyciami wywoływanymi przez psychodeliki, zwłaszcza te o silnym potencjale mistycznym. Osoby, które doświadczyły NDE, często opisują podobne zjawiska jak osoby pod wpływem psychodelików: poczucie opuszczenia ciała, podróż przez tunel do światła, spotkanie z boską istotą, doświadczenie jedności i miłości, a także głębokie poczucie przemiany życiowej po powrocie. Badacze, tacy jak Stanislav Grof, sugerują, że obie te kategorie doświadczeń mogą aktywować podobne mechanizmy w mózgu, prowadząc do stanów transcendencji i głębokiego duchowego przebudzenia.
Psychodeliki w terapii leczenie duszy przez duchowe doświadczenia
Terapia wspomagana psychodelikami: Nowa nadzieja dla zdrowia psychicznego
Obecnie obserwujemy renesans zainteresowania psychodelikami jako narzędziami terapeutycznymi. Badania nad psylocybiną w leczeniu depresji opornej na leczenie, a także nad MDMA w terapii zespołu stresu pourazowego (PTSD), przynoszą obiecujące rezultaty. Kluczowym elementem tej terapii jest nie tylko samo działanie farmakologiczne substancji, ale przede wszystkim możliwość wywołania głębokich doświadczeń duchowych i mistycznych. Te przełomowe wglądy i emocjonalne katharsis często stanowią rdzeń procesu leczenia, umożliwiając pacjentom przepracowanie traum i zmianę negatywnych wzorców myślowych.
Jak doświadczenie mistyczne koreluje z sukcesem terapeutycznym?
Badania konsekwentnie pokazują silną korelację między intensywnością doświadczenia mistycznego podczas sesji psychodelicznej a długoterminowymi pozytywnymi wynikami terapeutycznymi. Osoby, które doświadczyły głębokiego poczucia jedności, transcendencji czy poczucia świętości, wykazują większą poprawę w leczeniu depresji, lęku i innych zaburzeń psychicznych. Te mistyczne przeżycia pomagają w zmianie perspektywy na własne problemy, redukują lęk przed śmiercią i cierpieniem, a także zwiększają poczucie sensu i celu życia, co jest kluczowe dla trwałej poprawy dobrostanu psychicznego.
Integracja po doświadczeniu: Klucz do trwałej zmiany duchowej
Samo doświadczenie psychodeliczne, nawet jeśli jest głęboko mistyczne, jest jedynie punktem wyjścia. Prawdziwa, trwała zmiana duchowa i terapeutyczna następuje w procesie integracji. Polega on na świadomym włączaniu wglądów, emocji i nowych perspektyw uzyskanych podczas podróży w codzienne życie. Bez odpowiedniej integracji, nawet najbardziej przełomowe doświadczenie może pozostać jedynie ulotnym wspomnieniem, nie przekładając się na realne zmiany w postawie, zachowaniu czy sposobie myślenia. Dlatego tak ważne jest, aby po sesji psychodelicznej poświęcić czas na refleksję, pracę nad sobą i wdrożenie nowych wzorców.
Ayahuasca i szamanizm duchowość w tradycyjnym rytuale
Czym różni się ceremonia ayahuaski od rekreacyjnego użycia psychodelików?
Ceremonia ayahuaski znacząco różni się od rekreacyjnego użycia psychodelików. Kluczowa różnica tkwi w intencji i kontekście. Ceremonia ayahuaski odbywa się w ściśle określonym, świętym rytuale, z jasno określoną intencją (uzdrowienie, duchowe poszukiwanie). Jej celem jest głęboka transformacja, a nie tylko chwilowa zmiana percepcji. W przeciwieństwie do tego, rekreacyjne użycie często pozbawione jest głębszego celu, a nacisk kładziony jest na doznania sensoryczne lub społeczne. Różnice te można podsumować:
- Intencja: Ceremonia (duchowa, terapeutyczna) vs. Rekreacja (zabawa, ciekawość).
- Kontekst: Rytuał, święta przestrzeń, przewodnictwo vs. Swobodne otoczenie, brak formalnej struktury.
- Przewodnik: Obecność szamana/doświadczonego facilitatora vs. Zazwyczaj brak profesjonalnego wsparcia.
- Cel: Głęboka transformacja, uzdrowienie vs. Zmiana percepcji, rozrywka.
- Substancja: Ayahuasca (mieszanka roślin zawierająca DMT i IMAO) vs. Różne psychodeliki (LSD, grzyby, MDMA).
Ayahuasca, będąc złożonym naparem, często prowadzi do intensywnych wizji i głębokich emocjonalnych przeżyć, które są integralną częścią szamanistycznej praktyki.
Rola szamana i znaczenie intencji w duchowej podróży
W tradycyjnych ceremoniach ayahuaski, szaman odgrywa rolę nieocenioną. Jest on nie tylko przewodnikiem przez często burzliwe wody psychodelicznego doświadczenia, ale także uzdrowicielem, strażnikiem świętej przestrzeni i łącznikiem ze światem duchowym. Jego obecność, pieśni (icaros) i rytuały tworzą bezpieczne ramy, które pomagają uczestnikom nawigować przez trudne momenty i czerpać maksymalne korzyści z podróży. Równie ważne jest świadome nastawienie i intencja uczestnika. Jasno określony cel lub pytanie zadane przed ceremonią może znacząco wpłynąć na charakter i głębokość otrzymanych wglądów.
Pieśni, modlitwy i święta przestrzeń: Elementy rytuału
Ceremonia ayahuaski to bogactwo elementów, które wspierają duchową podróż uczestnika. Oprócz samej substancji i obecności szamana, kluczowe znaczenie mają:
- Icaros (pieśni): Tradycyjne pieśni śpiewane przez szamana, które mają moc kierowania energią, oczyszczania i wprowadzania w określone stany świadomości.
- Modlitwy i intencje: Uczestnicy często zaczynają ceremonię od wyrażenia swoich intencji lub modlitw, które stanowią punkt odniesienia dla podróży.
- Dieta: Specjalna dieta przed ceremonią, często eliminująca pewne pokarmy (np. sól, cukier, tłuszcze, alkohol), ma na celu oczyszczenie ciała i umysłu, przygotowując je na przyjęcie ayahuaski.
- Święta przestrzeń: Dbałość o stworzenie i utrzymanie bezpiecznej, pełnej szacunku przestrzeni, wolnej od zakłóceń, jest fundamentalna dla całego doświadczenia.
Zagrożenia na psychodelicznej ścieżce duchowej
Duchowe omijanie (spiritual bypassing): Gdy psychodeliki stają się ucieczką
Jednym z subtelnych, ale poważnych zagrożeń związanych z poszukiwaniem duchowości za pomocą psychodelików jest zjawisko "duchowego omijania" (spiritual bypassing). Polega ono na wykorzystywaniu duchowych koncepcji lub doświadczeń do unikania konfrontacji z trudnymi emocjami, nierozwiązanymi traumami czy problemami życiowymi. Psychodeliki, oferując chwilowe poczucie jedności i transcendencji, mogą być idealnym narzędziem do takiego "omijania". Zamiast integrować trudne aspekty siebie i świata, osoba może popaść w iluzję doskonałości lub wyższości duchowej, co hamuje autentyczny rozwój i uzdrowienie.
Ryzyko inflacji ego i syndromu mesjasza
Intensywne, transformujące doświadczenia psychodeliczne, zwłaszcza te związane ze "śmiercią ego" i poczuciem jedności, mogą prowadzić do zjawiska inflacji ego. Osoba może zacząć postrzegać siebie jako wyjątkowo oświeconą, posiadającą unikalną wiedzę lub misję. W skrajnych przypadkach może to przerodzić się w tzw. syndrom mesjasza przekonanie o własnej nieomylności i wyjątkowości, co jest paradoksalne, biorąc pod uwagę, że psychodeliki często mają prowadzić do pokory i zrozumienia własnych ograniczeń. Brak odpowiedniej integracji i ugruntowania w rzeczywistości po takich doświadczeniach jest kluczowym czynnikiem ryzyka.
Jak odróżnić autentyczne doświadczenie duchowe od psychozy?
Rozróżnienie między głębokim doświadczeniem duchowym a epizodem psychotycznym po zażyciu psychodelików jest kluczowe dla bezpieczeństwa. Choć oba stany mogą wiązać się z utratą kontaktu z rzeczywistością, istnieją istotne różnice. Doświadczenia duchowe często charakteryzują się poczuciem sensu, jedności, miłości i transcendencji, a po ustąpieniu efektów substancji następuje pozytywna zmiana w życiu. Psychoza natomiast jest zazwyczaj chaotyczna, pełna lęku, paranoi, urojeń i dezorganizacji myślenia, a po jej ustąpieniu może pozostawić trwałe ślady. Ważne jest, aby pamiętać o pre-selekcji (unikanie substancji przy predyspozycjach do chorób psychicznych) oraz o profesjonalnym wsparciu w razie wystąpienia trudności.
Znaczenie przygotowania (set) i otoczenia (setting) dla bezpieczeństwa
Jak powiedział Stanislav Grof, "Kluczem do pozytywnego doświadczenia psychodelicznego jest nie tylko substancja, ale przede wszystkim set i setting stan umysłu i otoczenie, w którym się znajdujemy." Odpowiednie przygotowanie psychiczne (set) czyli stan umysłu, nastawienie, intencja, poziom zmęczenia czy lęku jest absolutnie fundamentalne. Równie ważne jest fizyczne i psychologiczne otoczenie (setting): bezpieczne, komfortowe miejsce, obecność zaufanych, wspierających osób, a w przypadku ceremonii doświadczony przewodnik. Zaniedbanie tych aspektów znacząco zwiększa ryzyko wystąpienia trudnych, nieprzyjemnych lub wręcz niebezpiecznych doświadczeń.

Integracja duchowych wglądów po doświadczeniu psychodelicznym
Dziennikarstwo, medytacja, praca z ciałem: Narzędzia integracyjne
Aby w pełni wykorzystać potencjał transformacyjny doświadczeń psychodelicznych, kluczowa jest ich integracja. Oto kilka sprawdzonych narzędzi, które mogą w tym pomóc:
- Prowadzenie dziennika: Zapisywanie myśli, emocji, wizji i wglądów zaraz po doświadczeniu i w kolejnych dniach pozwala na ich uporządkowanie i lepsze zrozumienie.
- Medytacja i mindfulness: Regularna praktyka medytacyjna pomaga w utrzymaniu spokoju umysłu, pogłębianiu świadomości i integrowaniu wglądów w codzienne życie.
- Praca z ciałem: Joga, taniec, ćwiczenia oddechowe czy terapia somatyczna pomagają uwolnić zablokowane emocje i napięcia, które mogły wyjść na jaw podczas podróży.
- Sztuka i twórczość: Wyrażanie doświadczeń poprzez malowanie, pisanie, muzykę czy inne formy artystyczne może być potężnym narzędziem integracyjnym.
- Kontakt z naturą: Spędzanie czasu na łonie natury sprzyja ugruntowaniu, poczuciu połączenia i refleksji nad uzyskanymi wglądami.
Rola społeczności i wsparcia w utrwalaniu zmiany
Proces integracji rzadko jest łatwy i często wymaga wsparcia. Dzielenie się swoimi doświadczeniami z zaufanymi przyjaciółmi, terapeutami lub grupami wsparcia (np. grupami integracyjnymi dla osób po doświadczeniach psychodelicznych) może być nieocenione. Społeczności psychonautów, choć działające głównie online, również odgrywają rolę w wymianie informacji i wzajemnym wsparciu. Poczucie bycia zrozumianym i akceptowanym przez innych, którzy przeszli podobne ścieżki, pomaga w utrwalaniu pozytywnych zmian i radzeniu sobie z potencjalnymi trudnościami.
Czy jedno doświadczenie wystarczy? Długoterminowa perspektywa rozwoju duchowego
Poszukiwanie duchowości za pomocą psychodelików często bywa postrzegane jako droga do natychmiastowego "przebudzenia". Należy jednak pamiętać, że psychodeliki są narzędziem, a nie magiczną pigułką. Jedno, nawet najbardziej spektakularne doświadczenie, rzadko wystarcza do trwałej transformacji. Prawdziwy rozwój duchowy to proces ciągły, wymagający konsekwentnej pracy nad sobą, refleksji, integracji uzyskanych wglądów w codzienne życie i stosowania ich w praktyce. Psychodeliki mogą być potężnym katalizatorem tej podróży, ale to od nas zależy, jak wykorzystamy ich potencjał na dłuższą metę.
Przeczytaj również: Grzyby halucynogenne w Polsce: Prawo, ryzyka, gatunki
Twoja droga duchowa z psychodelikami co dalej?
Przeszliśmy przez fascynującą podróż, odkrywając złożoną relację między psychodelikami a duchowością, od ich historycznych korzeni po współczesne zastosowania terapeutyczne i neurologiczne podstawy. Mam nadzieję, że ten artykuł dostarczył Ci rzetelnej wiedzy, która pozwoli lepiej zrozumieć potencjał tych substancji, ale także ich ograniczenia i związane z nimi ryzyka.
Oto kilka kluczowych wniosków, które warto zabrać ze sobą:
- Psychodeliki mogą być potężnym narzędziem do indukowania głębokich doświadczeń duchowych, takich jak poczucie jedności czy transcendencja ego, często poprzez modulację aktywności sieci trybu domyślnego (DMN) w mózgu.
- Bezpieczeństwo i skuteczność tych doświadczeń zależą w ogromnej mierze od świadomego przygotowania (set) i odpowiedniego otoczenia (setting), a także od późniejszej integracji wglądów w życie codzienne.
- Choć badania naukowe nad potencjałem terapeutycznym psychodelików nabierają tempa, w Polsce substancje te pozostają nielegalne, co wymaga ostrożności i odpowiedzialnego podejścia do wszelkich eksploracji.
Z mojego doświadczenia wynika, że kluczem do autentycznego rozwoju duchowego, niezależnie od tego, czy korzystamy z pomocy psychodelików, czy nie, jest pokora i ciągła praca nad sobą. Pamiętaj, że nawet najbardziej przełomowe doświadczenie jest jedynie początkiem drogi, a prawdziwa transformacja dokonuje się w codziennym życiu, poprzez świadome wybory i integrację zdobytej mądrości.
A jakie są Twoje przemyślenia na temat wpływu psychodelików na duchowość? Czy masz własne doświadczenia lub pytania, którymi chciałbyś się podzielić? Zapraszam do dyskusji w komentarzach poniżej!






